在干细胞医学的重要测试中,一家生物技术公司宣称他们已将实验室制造的神经元植入了12名帕金森病患者的大脑,这些神经元看起来安全,而且可能已为其中一些患者减轻了症状。
这些新增的细胞应当能够产生神经递质多巴胺,多巴胺的缺乏是导致帕金森病严重症状的原因,包括行动障碍。
![]()
加利福尼亚大学欧文分校的神经学家Claire Henchcliffe表示:“我们的目标是让他们形成突触,并与其它细胞进行交流,就像是自己体内的细胞一样。有趣的是,当你将这些细胞植入后,它们可以与宿主进行交流。”
这项研究是迄今为止最大型、最昂贵的胚胎干细胞技术测试之一。这种备受争议且备受瞩目的技术是利用体外受精胚胎中提取的干细胞制造替代组织和身体部位。
这项小规模试验的主要目标是证明该方法的安全性,由制药巨头拜耳的子公司BlueRock Therapeutics赞助。替代的神经元是利用最初从人类体外受精程序中获取的强效干细胞制造的。
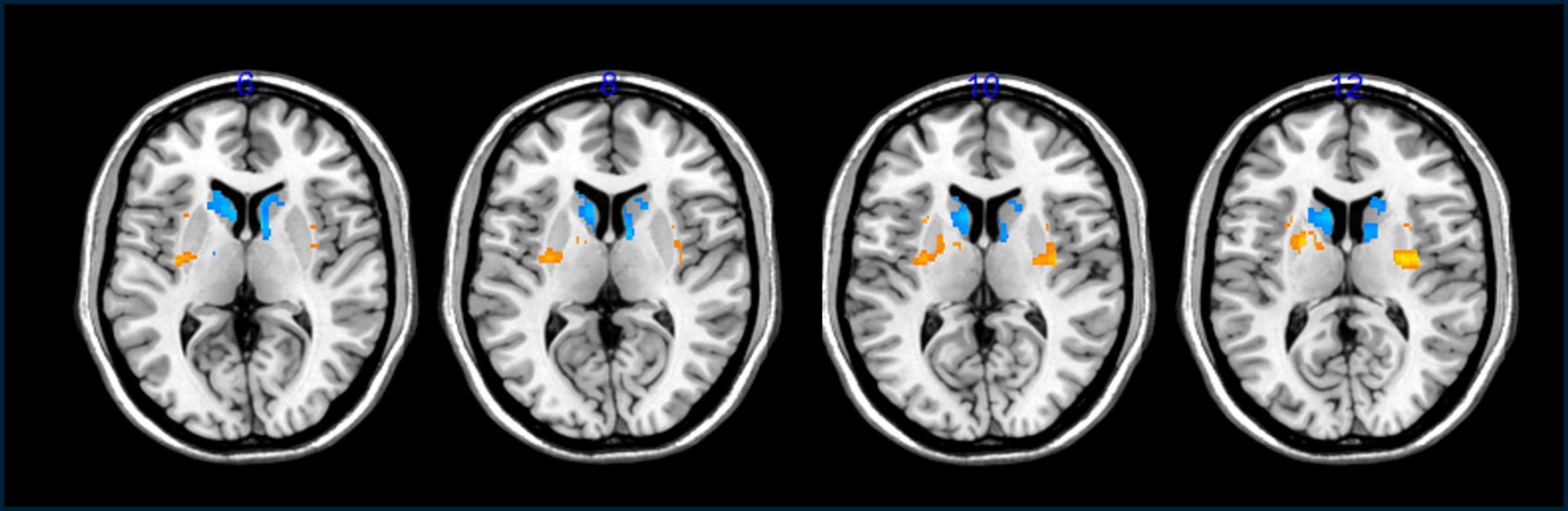
据Henchcliffe和其他人在哥本哈根的国际帕金森病与动作障碍大会上8月28日呈现的数据,患者在治疗一年后的附加细胞存活,并减轻了患者的症状。
从显示病人大脑中多巴胺细胞增加的脑部扫描以及“关闭时间”(或者患者因症状而感到无法活动的每日小时数)减少的情况来看,移植手术似乎有所帮助。
但是,外部专家在解释这些发现时表示要谨慎,认为它们似乎表现出了不一致的效果——其中一些可能是由于安慰剂效应,而不是治疗本身。
剑桥大学研究帕金森病的Roger Barker表示:“令人鼓舞的是,这次试验并没有引起任何安全问题,并且可能存在一些好处。”但是Barker称移植的细胞生存下来的证据“略显失望”。
因为研究者无法直接看到植入人脑的细胞,他们通过给患者注射多巴胺的放射性前体,并在PET扫描中观察其在大脑中的摄取来跟踪这些细胞的存在。对于Barker来说,这些结果并不那么令人信服,他说现在“仍然为时过早”来判断移植的细胞是否已经植入并修复了患者的大脑。
法律问题
1998年,威斯康星大学首次从生育诊所制造的胚胎中分离出胚胎干细胞。由于这些细胞可以在实验室内培养,而且理论上可以被诱导形成人体内的任何一种200多种细胞类型,因此科学家试图利用它们恢复视力,治疗糖尿病,并逆转脊髓损伤。
然而,尽管政府和公司在两个半世纪内投入了数十亿美元的研究资金,但至今还没有基于胚胎干细胞的医疗治疗方法。BlueRock的研究仍然是改变这一状况的关键尝试之一。
并且,在拜耳公司总部所在地德国,干细胞继续引起微妙的问题。根据德国的胚胎保护法——全球最严格的此类法律之一,从胚胎中提取胚胎细胞仍然是一种犯罪行为,可被判刑。
在某些情况下,使用2007年之前创建的外国细胞供应是合法的。BlueRock的总裁兼首席执行官Seth Ettenberg表示,该公司正在美国生产神经元,并使用威斯康星原始供应中的胚胎干细胞,这些干细胞仍然广泛使用。
Bayer的发言人Nuria Aiguabella Font在一封电子邮件中表示:“BlueRock的所有操作都遵循德国胚胎保护法的高道德和法律标准,因为BlueRock没有进行任何与人类胚胎相关的活动。”
长久的历史
治疗帕金森病通过替换多巴胺生成细胞的想法可以追溯到1980年代。当时,医生尝试使用人工流产后获取的胎儿神经元进行治疗。这些研究结果并不明确。虽然某些患者可能受益,但其他患者出现“可怕”的副作用,如无法控制的扭动和抽搐,引发了令人担忧的头条新闻。
使用胎儿大脑细胞不仅在伦理方面受到质疑,研究人员还逐渐认识到这种组织变异性大,且难以获取,因此无法成为标准治疗手段。神经科学家Henchcliffe表示:“在大脑中移植细胞或组织片段的尝试有过多次,但都没有成功。我认为以前对作用机制的理解不足,而且缺乏质量可控的细胞。”
然而,也有证据显示移植细胞可以存活。一些接受过胎儿细胞治疗的患者在去世后的尸检中发现,移植物多年后仍然存在。Aspen Neuroscience的联合创始人Jeanne Loring表示:“很多人参与了这些胎儿细胞移植的研究。他们一直想知道,如果你做得对,是否会有效?”
正是胚胎干细胞的发现使更加可控的测试成为可能。这些细胞可以在实验室内扩增,并转化为能够生成多巴胺的细胞。
哥伦比亚大学的Lorenz Studer最初进行了这种多巴胺细胞的制造工作,以及对动物的测试。2016年,他成为了BlueRock的科学创始人,该公司最初是Bayer和投资公司Versant Ventures的合资企业。2019年,Bayer全权接管了这家估值约10亿美元的干细胞公司。
运动障碍
在帕金森病中,多巴胺生成的细胞逐渐死亡,导致大脑中多巴胺的短缺。这可能引发震颤、肢体僵硬和称为运动迟缓的一般运动下降。这种疾病通常进展缓慢,一种名为左旋多巴的药物多年来都能控制症状。深部脑刺激器这类脑植入物也可以减轻症状。然而,该疾病是进展性的,最终,左旋多巴无法很好地控制症状。
![]()
BLUE ROCK THERAPEUTICS
今年,演员Michael J. Fox向CNN透露,由于记不住台词,他已永久退休,尽管他在30年前就被诊断出患有这种疾病。Fox告诉该网络:“我不会撒谎,每天都更难。”
细胞疗法的前景在于,医生不仅能缓解症状,还有可能通过添加新的神经元来修复受损的大脑网络。
BlueRock的首席执行官Ettenberg表示:“再生医学的潜力不仅仅是延缓疾病,而是重建大脑功能。”他说,“我们希望有一天人们不再认为自己是帕金森病患者。”
Ettenberg表示,BlueRock计划明年启动更大规模的研究,包括更多的患者,以确定治疗是否有效,以及效果如何。
更多游戏资讯请关注:电玩帮游戏资讯专区
电玩帮图文攻略 www.vgover.com
