隨手發了條評論,盒友竟然送了我黑神話?!|談談暈厥和卵圓孔未閉
6月27號,期末周複習到想死的我打算放鬆會,於是打開手機刷會小黑盒。看到一條求助帖子,像往常一樣,思考片刻後我把自己的想法發了出來,就繼續複習了。
![]()
![]()
這裏給我評論糾個錯,少打了個字,應爲“非腔隙性腦梗”
但是一個月後,7月28日,這位盒友私信了我
![]()
說實話,剛看到這條消息還是挺懵的,實在記不太清了,評論過太多求助帖,一時半會還真沒想起來
但是看到“卵圓孔未閉”便有點印象了,點開了原帖,沒想到當時發的評論建議是正確的,更沒有想到樓主會因爲我的評論送給我一份禮物,真的太感動了在這裏再次感謝樓主,祝樓主媽媽早日康復,全家都健健康康的
藉此機會正好來給大家科普一下卵圓孔未閉
先來說說我爲什麼建議去查卵圓孔未閉,我們簡單捋一遍病史:
某某,女,50歲左右
主訴:暈厥發作數小時
現病史:患者今晨突發暈厥,呼之不應,家屬陪同入院,其餘不詳
既往史:平素體弱,食慾尚可,家屬代述既往有過暈厥發作,入院後查心電圖示心律失常,心率50bpm,其餘檢查無異常;否認“心腦血管疾病”病史,其餘不詳
個人史、婚姻史、家族史:不詳
體格檢查、專科檢查、輔助檢查:不詳
![]()
病史的信息不是很多,我們先說暈厥的診斷,暈厥是指一過性全腦血液低灌注導致的短暫意識喪失(transient loss of consciousness, TLOC),特點爲發生迅速、一過性、自限性並能夠完全恢復。發作時因肌張力降低、不能維持正常體位而跌倒。2018年的暈厥發作指南將暈厥分爲三類:反射性暈厥、直立性低血壓暈厥和心原性暈厥。
反射性暈厥一般是有誘因的,例如疼痛、脫水、醫療操作等因素導致的迷走/交感神經異常造成周圍血管擴張/心動過緩,按照樓主的描述是沒有明顯誘因的(我猜測樓主媽媽應該是幹了活或者天氣熱出了很多汗造成脫水),此外一般年紀大/體弱的人心率都會比較低,這可能也是誘發暈厥的因素之一。
直立性低血壓暈厥顧名思義,原因很明確很好發現,如果是這個原因樓主應該也不會發帖求助了。
心原性暈厥包括心律失常或器質性心血管疾病所致暈厥。心律失常具體不清楚是哪種,但是可能是原因之一,但是個人猜測不是很嚴重,描述裏醫生似乎也不太確定;器質性心血管疾病樓主否認,但是沒有相關檢查。
綜上所述我個人猜測是脫水誘發的、加上心律失常作用導致的暈厥,但是一般人脫水和竇緩並不會引發反覆發作的、持續時間較長的暈厥,我認爲還有原因。
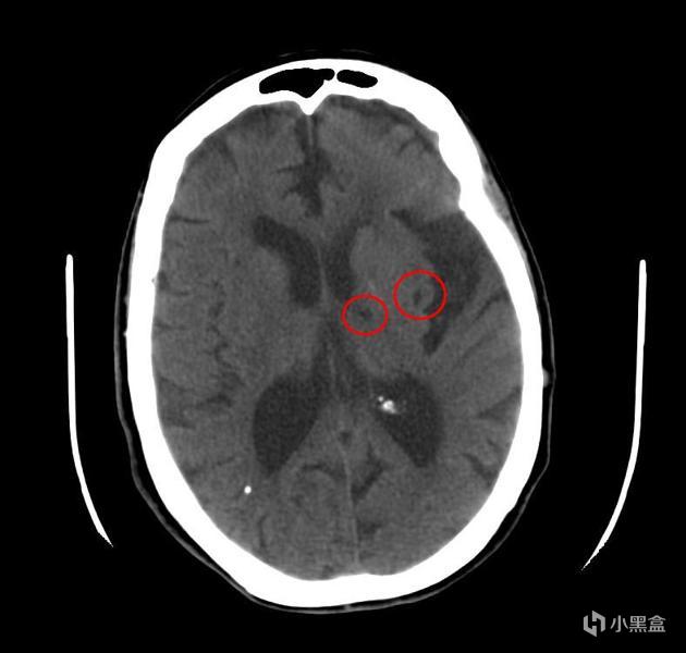
由於沒有檢查明確心臟是否有結構上的異常,我建議做心臟彩超;我認爲器質性原因最大的可能就是卵圓孔未閉(Patent Foramen Ovale,PFO)——一種被很多忽視的心臟結構異常,發泡試驗就是PFO影像學診斷的最常用的方法,而檢查腦部的CT和MRI是看基底區是否有梗死,這是診斷PFO的線索之一。
其實如果是急診去檢查的話,醫生就看你有沒有心梗腦梗這些要命的,而如果去門診檢查的話,我覺得大概率醫生會檢查這些項目的。
什麼是卵圓孔未閉(PFO)?
心臟有四個泵血的腔室:右心房接收全身的靜脈血並泵入右心室,右心室通過肺動脈將血液泵入肺部,血液經過肺循環後將富含氧氣的血液通過肺靜脈送到左心房,最後進入左心室將這些動脈血泵給全身。
![]()
正常來說左右心房和左右心室之間是不連通的。心臟是由心管發育而來的,此時心臟只有一個腔室,其中的分隔是慢慢發生的。當胎兒還在子宮內時,肺部是不工作的,這時的心房之間是通過卵圓孔溝通,而出生之後由於肺部開始發揮作用,血流動力改變,左心房壓力超過右心房壓力,心房的間隔逐漸關閉。
![]()
胎兒的氧氣一般通過胎盤獲得,不需要呼吸作用,所以血液爲了繞過右心房就經過卵圓孔和動脈導管進入左心房和降主動脈。
簡單來說,卵圓孔是心臟發育過程中位於心房間隔的一個生理性瓣膜樣孔道,大約在在妊娠第四周末形成,出生後大部分人會逐漸閉合,約有25%的成年人沒有閉合,成爲卵圓孔未閉。絕大多數PFO患者不會有症狀,常常終生都不會發現。
但是近年來對PFO逐漸重視,因爲研究表明很多症狀都可能和它相關。
![]()
卵圓孔未閉的症狀有什麼?
1、PFO相關卒中:近年來幾項大型的RCT結果表明,PFO導致的反常栓塞是造成心源性卒中的重要原因,大約佔到缺血性卒中的5%。
卒中就是我們常說的中風,或者說腦梗。一般血栓是在流速慢的靜脈系統形成,如果有卵圓孔這樣溝通動靜脈系統的通道,靜脈血栓就會進入動脈直達腦血管裏形成堵塞,所以PFO患者經常在片子上能看到梗死竈。
![]()
2、PFO相關偏頭疼:研究提示PFO人羣偏頭痛發生率是正常人羣的5.13倍,偏頭痛患者PFO發生率是正常人羣的2.54倍,不明原因卒中合併偏頭痛患者PFO 發生率高達79%。
相關病理學解釋有兩種:第一種就是上面說的反常栓塞造成亞臨牀腦梗;第二種說法是血管活性物質通過PFO直接進入左心繫統和頸動脈循環刺激腦血管引起痙攣。
表現爲反覆發作、多爲單側的中重度搏動性頭痛,常伴噁心、嘔吐、畏光恐聲等症狀。很多人偏頭痛找不到原因往往最後就查出有PFO,但是目前還是推薦藥物治療,手術治療不作爲常規手段。
![]()
3、PFO相關的斜臥呼吸‑直立性低氧血癥綜合徵(POS):簡單來說就是類似於體位性低血壓,臨牀表現爲呼吸困難、立位或坐姿時明顯、臥位時緩解的綜合徵。
發病機制複雜,主要由3種原因引起:心內分流、肺動靜脈分流或肺部通氣/灌注不匹配,其中約80% 患者由心內分流所致。
4、此外也與減壓病、心肌梗死、視網膜動脈栓塞、遠端肢體栓塞、暈厥、癲癇、聽力喪失、一過性黑矇等相關。
我們把暈厥單拎出來說
2016年的一項研究發現,不明原因暈厥患者中PFO的發生率爲75.4%,明顯高於普通人羣中PFO的檢出率(25%),26例接受PFO封堵術的患者中有2例暈厥復發(7.6%),而20例未接受手術的患者中則有5例暈厥復發(25%)。最近已經有研究證實了PFO與不明原因暈厥高度相關,PFO封堵可以預防暈厥復發。
其機制目前認爲是反常栓塞、血管活性物質進入腦血管和動靜脈血混合造成短暫腦缺血。
在疾病診斷中,往往就是罕見病和常見病的罕見症狀最容易被忽略。
如何診斷卵圓孔未閉?
其實就是我評論裏說的發泡試驗,準確說是指經顱多普勒超聲聲學造影(cTCD),目前也有經胸超聲心動圖右心聲學造影(cTTE)。
簡單說就是將含有微氣泡生理鹽水作爲造影劑,因振盪微氣泡不能通過肺毛細血管網,只能顯示右心腔,可清晰顯示PFO處分流的大小及方向,故可藉此判斷是否存在心內分流及肺內分流。
將含有微氣泡生理鹽水注射到體內,同時做Valsalva動作,就能在彩超下判斷是否有PFO了。
![]()
![]()
如何治療卵圓孔未閉?
絕大多數患者都不需要治療,只有出現類似暈厥這樣的嚴重症狀才需要手術干預,PFO相關偏頭痛患者目前推薦藥物治療如β 受體阻滯劑、抗癲癇藥、鈣通道阻滯劑、非甾體類抗炎藥等。
經皮導管PFO封堵術和其他心臟介入手術區別不大,就是從胳膊或者大腿把導絲和封堵器送到心臟堵上就好,局麻5min手術5min。
![]()
參考文獻:
1、中華心血管病雜誌編輯委員會,中國生物醫學工程學會心律分會,中國老年學和老年醫學學會心血管病專業委員會,等. 暈厥診斷與治療中國專家共識(2018)[J]. 中華心血管病雜誌,2019,47(2):96-107.
2、Wang X, Liu X, Zheng L, Liu Y, Guan Z, Dai J and Chen X (2023) Correlation between percutaneous patent foramen ovale closure and recurrence of unexplained syncope. Front. Neurol. 14:1104621.
3、中華醫學會心血管病學分會, 中華心血管病雜誌編輯委員會. 卵圓孔未閉規範化診療中國專家共識 [J] . 中華心血管病雜誌, 2024, 52(4) : 369-383.
寫在最後:很開心自己的科普能幫到別人,真的很有成就感,這也給了我繼續把科普做下去的動力,這也許就是科普的意義吧再次感謝這位盒友的黑神話,最後祝所有盒友和家人都身體健康
![]()
文章僅作醫學科普,不提供醫療建議,如有不適請及時線下就醫
更多遊戲資訊請關註:電玩幫遊戲資訊專區
電玩幫圖文攻略 www.vgover.com
