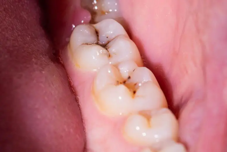
全球有相当一部分人群长期受到牙菌斑和蛀牙的困扰,或在生活中某个时期面临这些问题。虽然牙膏、漱口水和定期牙科检查都有助于预防,但仍有改进的空间。

近日,来自内盖夫本-古里安大学的研究者与四川大学和新加坡国立大学的团队合作,发现3,3'-Diindolylmethane (DIM) - 一种也被称为双吲哚的天然分子,可以显著地减少牙菌斑和蛀牙的生物膜至10%。此外,这种分子还被发现具有抗癌性质。
他们的研究成果最近发表在《抗生素》杂志上。
你的口腔是诸如S. mutans这类细菌的大型贮藏所,这种细菌被认为是牙蛀的主要诱因之一。食物摄入后,S. mutans会在你的口腔的湿润和含糖环境中形成一层覆盖在牙齿上的生物膜。生物膜会产生牙菌斑,侵蚀牙釉质,并导致蛀牙。科学家们发现双吲哚(DIM)能够破坏90%的这种生物膜,从而不给细菌生长的机会。
“这种低毒性的分子可以添加到牙膏和漱口水中,大大提高口腔卫生。” 这是研究的首席作者,同时也是Avram和Stella Goldstein-Goren生物技术工程系的Prof. Ariel Kushmaro的说法。他还是Ilse Katz纳米科学技术研究所和Goldman Sonnenfeldt可持续性和气候变化学院的成员。
参考文献:“3,3'-Diindolylmethane (DIM): A Potential Therapeutic Agent against Cariogenic Streptococcus mutans Biofilm” 由 Yifat Baruch、Karina Golberg、Qun Sun、Karina Yew-Hoong Gin、Robert S. Marks 和 Ariel Kushmaro, 2023年6月6日,《抗生素》。
DOI: 10.3390/antibiotics12061017
这项研究是由他的学生Yifat Baruch、Dr. Karina Golberg,以及同一系的Prof. Robert S. Marks、四川大学的Qun Sun和新加坡国立大学的Karina Yew-Hoong Gin共同完成的。
研究得到了四川国际研究与发展计划(2019YFH0113)和新加坡SMART创新资助ING-000398的支持。
更多游戏资讯请关注:电玩帮游戏资讯专区
电玩帮图文攻略 www.vgover.com
