许多毛发哺乳动物,尤其是狗子,湿身后会用力甩掉毛发上的水分。科学家们如今更接近理解这种“湿狗甩水”背后的神经机制了。通过在实验鼠身上的研究,哈佛医学院霍华德·休斯医学研究所的研究团队发现,这种行为的触发源于皮肤中特定的机械感受器被激活。这项研究于11月7日发表在《科学》期刊上。

湿狗甩水是一种高效的去水方式,还能清除毛发中的刺激物、打结及寄生虫。对脖子和背部这些动物舔舐或自我清洁不便的部位尤其有效。毛发哺乳动物的皮肤内有超过12种感官神经元,各有不同的功能,用于感知和解释不同的感觉,并触发诸如甩水等反应。尽管这种行为在多个物种中普遍存在,但其背后的神经机制一直鲜为人知。

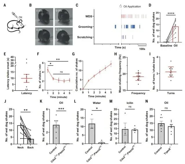
在这项新研究中,研究团队专注于一种超敏触觉感受器,称为C类低阈值机械感受器(C-LTMRs)。这些感受器围绕毛囊分布,与愉悦触觉相关。
首先,团队在小鼠的背部和颈部涂抹油和水等不同刺激物,观察多种机械感受神经元的反应。接着,他们通过基因改造去除了一部分小鼠的C-LTMRs。去除这些感受器后,小鼠的甩水行为显著减少,表明这些感受器在触发甩水反应中起着关键作用。
![]()
之后,研究人员进一步追踪了C-LTMRs信号在小鼠神经系统中的传递路径,发现它通向脊髓内的一组神经元,再连至大脑中的副桥核,这是一个处理疼痛、触觉和温度的区域。团队通过光控技术对脊髓神经元的活动进行调控,从而绘制出感受神经元的信号传递路径图。
与对照组小鼠相比,这些改造后的小鼠甩水频率降低了58%。阻断通向大脑疼痛、触觉和温度区域的信号也产生了类似效果。对照组小鼠依旧正常地抓挠和梳理自己,表明这是一条专门用于“湿狗甩水”的神经回路。
![]()
研究结果表明,C-LTMRs是引发湿狗甩水的关键感受器。未来的研究可进一步探讨C-LTMRs是否在猫的“皮肤抽搐综合症”中也有作用,即猫突然撕扯皮肤并过度抽搐的现象。这一发现也可能为人类皮肤敏感性问题的研究提供新方向。
更多游戏资讯请关注:电玩帮游戏资讯专区
电玩帮图文攻略 www.vgover.com

