脑损伤会导致性格发生重大改变,在一些罕见的情况下,患者会变成病态的爱开玩笑的人,即使在不恰当的情况下也无法抑制开玩笑或说幼稚双关语的冲动。
2016 年的一项研究描述了一名 69 岁的男子,他中风后产生了对幽默的强迫性需求。
![]()
患者脑部 MRI 扫描
这位病人特别喜欢分享令人捧腹大笑的笑话,经常半夜把妻子叫醒,就为了给她讲一个趣事。所以她好心地请他把笑话写下来,以免吵醒她。
第一次与神经科医生团队见面时,这名男子带来了“大约 50 页纸,里面全是他的笑话,其中大部分是双关语或带有性或排泄内容的愚蠢笑话”。
这名男子被诊断患有 “幽默癖”(Witzelsucht) ,这是一种以持续不断的幽默欲望为特征的症状集。通常情况下,他的笑话要么时机不当,要么内容冒犯,但讲笑话的人却浑然不觉,反而沉浸在自己的幽默之中。

笑话案例
“Witzelsucht”(德语中“玩笑”和“成瘾”两个词的组合)一词最早由德国神经学家赫尔曼·奥本海姆于 1890 年提出 。他注意到,由于受伤或疾病导致的右侧额叶损伤,有时会导致他的病人出现过度幽默的行为。
1929 年,德国神经外科医生奥特弗里德·福斯特在对一名清醒的病人进行脑部手术时,戳到了大脑的某个部位,导致病人突然开始用拉丁语、希腊语、希伯来语和德语讲双关语。
这帮助神经科学家缩小了与幽默相关的脑区范围,但自这一发现以来的几十年里,我们仍然不完全清楚“幽默癖”的发生频率以及如何治疗。相关的案例研究寥寥无几。
如今,科学家们知道,Witzelsucht 常常与另一组称为 moria 的神经系统症状同时存在或重叠 ,而 moria 的特征是病理性眩晕。
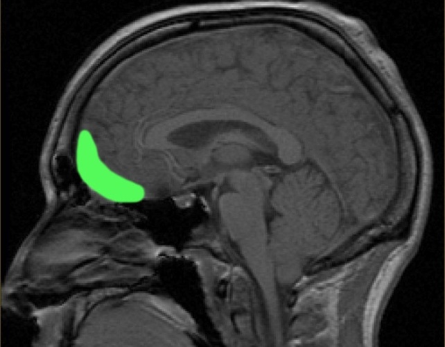
这两种行为变化都与眶额回路的损伤有关,眶额回路参与决策,受损时可能导致缺乏人际交往能力。
脑部核磁共振扫描图,图中绿色部分大致标示了眶额皮质的位置。( PaulWicks/公共领域/维基共享资源 )
早前,门德斯和加州大学洛杉矶分校的团队分享了一个 63 岁男子的故事,他头部中枪,失去了大部分右侧额叶和部分左侧眶额皮质 。
该男子曾饱受抑郁症和自杀念头的折磨,但在康复过程中突然表现出持续的快乐和幸福感,他一度宣称:“你永远不会看到我处于痛苦的状态。”
医生报告称 :“经检查发现,他漠不关心,经常开玩笑、说俏皮话或对别人进行轻松的戏谑,总体上没有认真对待自己的处境。”
![]()
他偶尔会憋气来使自己的颅骨缺损处膨胀,以此来给周围的人带来惊喜和乐趣。
虽然目前尚无治疗该症状的标准疗法,临床医生可能会首先尝试使用血清素再摄取抑制剂,或者使用精神活性抗癫痫药物或非典型抗精神病药物。
虽然似乎可以缓解某些人的大笑症状,但要摆脱开玩笑的冲动却很难。
他们说,这些症状“揭示了构成人类生活的一些最复杂的积极心理现象的神经基础,包括幽默、创造力和快乐”。
但这件事很难一笑了之。
![]()
Granadillo Elias D. et al. Pathological Joking or Witzelsucht Revisited, The Journal of Neuropsychiatry and Clinical Neurosciences. https://doi.org/10.1176/appi.neuropsych.15090238
Erickson JM, Quinn DK, Shorter E. Moria Revisited: Translation of Moritz Jastrowitz's Description of Pathologic Giddiness. J Neuropsychiatry Clin Neurosci. 2016 Spring;28(2):74-6. doi: 10.1176/appi.neuropsych.15080205
Mario F. Mendez, et al. Positive Emotions from Brain Injury: The Emergence of Mirth and Happiness, 29 January 2020 https://doi.org/10.1155/2020/5702578
更多游戏资讯请关注:电玩帮游戏资讯专区
电玩帮图文攻略 www.vgover.com
