大家好,我是星光。
俗話說,傷筋動骨一百天。骨折五個月,現在也恢復的差不多了,給大家講講骨折後發生的事情,包括事故、手術和術後恢復,也希望大家引以爲戒,祝點進來看的大家一直健健康康。
![]()
我是2024年1月11日發生交通事故,造成了左腳的內側腳踝骨折,隨後被送往醫院的急診室,於1月14日動了手術。骨折的前一晚,和同事在項目上遇到了比較緊急的情況,也是狠狠加班到了凌晨兩三點鐘,所以當天晚上下了班,也是非常急迫的騎着我的小電驢,想回宿舍爽玩我剛買的遊戲(淺淺吐槽一下濟南東邊的路況,真的是又堵,地勢又高低不平)。
行駛到離宿舍的最後一個路口時,突然腦子一抽想起了和朋友之前的對話,問我爲什麼非要在這裏傻傻的等紅燈,抱着僥倖心理,我掉轉車頭,也是直接就開始在非機動車道上逆行。於是在一個岔路口,我被對面車的遠光燈照的睜不開眼睛的情況下,非常痛苦的被側道行駛出來的SUV的右車輪,從我的左腳碾過(在這裏狠狠表揚AJ1,鞋是真的厚,我腳踝都骨折了,鞋愣是一點事沒有,沒有這雙AJ1我估計腳已經粉碎性骨折了)。
![]()
飽經風霜的AJ1
事故發生後,當時第一反應就是完damn了,左腳非常的疼,感覺整個小腿已經不是自己的了,就好像被很鋒利的刀片硬生生的把腳砍斷。肇事司機也非常的好心且負責任,下車查看了我的情況,把我的小電驢推到路邊,扶着我一瘸一拐的上了車後座,送我到了省立醫院的東院區就診。
提醒大家的是,一定一定要注意交通規則!
星光已經是第二次來急診區了,第一次還是腦部內出血躺了整整4天的ICU(也是流下難過的眼淚)。
到了院區,坐在輪椅上被推着,掛號、診斷、拍片、等待結果的過程中,和肇事司機就處理方式進行了溝通。對方是傾向於私了的,我因爲是逆行的原因造成事故,給對方帶來了困擾,也非常的愧疚,所以想聽聽他的處理方法。但是他沒有提賠償的問題,反而提出了一點就是我們要簽訂聲明書,聲明我之後如果有其他的問題,和本次事故無關。這種不直接處理事故,反而先把自己撇乾淨的做法讓我感覺非常的違和,於是我堅持選擇讓交警來處理這次交通事故。
如果大家在不嫌麻煩、想要獲得公正結果的情況下,找有關部門解決是最好的途徑!
後續就是打電話給我爸媽,朋友,委託我爸和肇事司機一同前往交警部門處理交通事故。最後判決的結果是同等責任,我的過失是逆行行駛,肇事司機的過失是借道行駛,這樣子的判罰已經對我很友好了,因爲同等責任的情況下我就可以進行工傷的提報,證明我是下班路上遭遇交通事故;對方對於判罰的結果不是很認可,堅持認爲是我的主要責任。我爸也是個非常敞亮的人,和對方講如果有什麼異議我們可以和交警溝通,確實是我們這邊的主要責任我們也承認,對方也沒有再繼續糾纏。
![]()
最後的玉足
處理完交通事故,夜已經很深了,我在急診室由媽媽看護,敷着冰袋度過了難忘的一晚(手動狗頭)。第二天我就被安排到了走廊裏的臨時病牀,如廁成爲了一個很難的問題,還好星光有一定的訓練基礎,也是成功使用葉問蹲的方式解決問題(bushi)。
![]()
詠春?葉問!
手術預約時間到了之後,我也是成功被送到了手術室。第一感覺就是手術室的燈很明亮,手術的醫生們很放鬆的交談,好像在處理一件稀鬆平常的事情,在這樣的氛圍下,我也沒有這麼緊張。隨後就是開始準備我的麻醉工作,麻醉一共全麻和局麻兩種,我因爲是下半身的身體部位手術所以選擇了局麻的方式,麻醉師就讓我側過身去,讓我像在媽媽肚子裏的小嬰兒那樣手抱膝蓋蜷縮起來,隨後就用麻醉針扎入我的脊椎尾骨進行注射(麻醉過程的感覺非常難以描述,好像脊椎尾部一直在腫脹發熱,麻醉師說是正常現象),注射完後用手同時掐我的上半身和下半身,確認沒有痛感之後就開始進行手術。
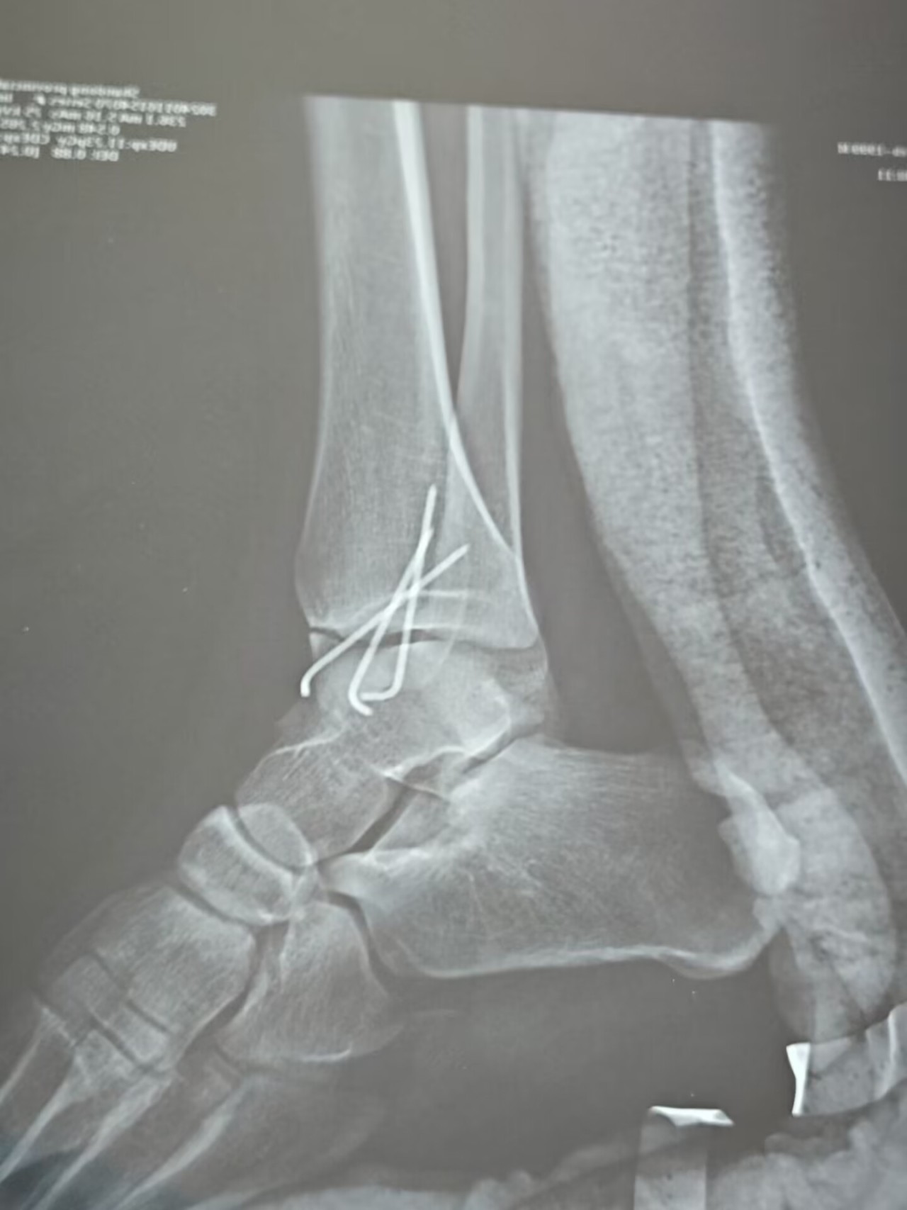
![]()
鋼釘
骨科的手術還是非常的簡單,給我的感覺就是拿着電鋸和錘子改造我的身體(快進到擁有賽博義肢),在麻醉的作用下,醫生擺弄我的腿我也沒有什麼知覺,很快就是呼呼睡過去,再醒來的時候我已經擁有了一個非常沉重且熱乎的新鮮石膏。
![]()
腳腫的像玉米粒
手術完最難熬的就是第一晚,止痛藥的勁兒過了之後的感覺,就是有鋒利的刀片一直在腳踝內部反覆的切割,同時又被一直按壓住傷口的窒息感。媽媽告訴我不能一直打止痛藥,會影響傷口恢復(後來被值班護士證實是錯誤的,並不會影響),我也就一直很辛苦的忍耐着疼痛,硬扛了22個小時纔在同病房大媽的呼嚕聲中(像一大堆的青蛙在集體的鳴叫)昏睡過去。
再之後就是住院留觀、出院、回家休養。住院期間爲了防止傷口感染,裹石膏和手術傷口的紗布通常是2-3天一換;出院後兩週拆線,期間保持石膏固定,每天晚上將受傷部位患肢高於心臟,促進血液迴流,防止腳部腫脹。
![]()
表揚我的貓貓!一直在陪着我!
就在這樣的情況下,依然帶了三個月的石膏,受傷期間爲了不耽誤工作,星光也是買了牀上用的小桌子,除了貴沒有什麼缺點(笑),也是身殘志堅的完成任務,男默女淚。
拆完石膏之後,就到了非常關鍵的復健環節!期間一定不能偷懶!
否則可能因爲腳背背屈受限而導致上下樓困難、無法下蹲等(星光現在走路還是有點瘸就是最好的例子嗚嗚嗚)。要堅持每天的鍛鍊,同時輔以其他的方式,比方說貼膏藥,或者泡腳,來達到促進血液循環的目的,也會大大減輕腳部腫脹的程度。鍛鍊的方式可以積極聽取主治醫生的意見,也可以在其他平臺查看一下短視頻的鍛鍊動作示範,鍛鍊過程中一定不能怕疼!越是經歷傷痛,你就離健康行走更進了一步!
大家如果還有其他的問題,歡迎在評論區留言,星光看到後也會積極回覆。(每天加班到九點的小孩兒留下了無名難過的眼淚)
更多遊戲資訊請關註:電玩幫遊戲資訊專區
電玩幫圖文攻略 www.vgover.com
